امرأة عاشت مع «توأم» بداخلها طيلة 17 عاماً دون علمها بوجوده

يقول أطباء في الهند إن امرأةً عاشت بواحدةٍ من أكثر الحالات الطبية ندرة واستدعاءً للقلق لقرابة العقدين، حسب ما نقله موقع Gizmodo الأميركية.

وأوضح التقرير الذي صدر هذا الأسبوع عن الحالة، أن المرأة عاشت بكيسٍ في بطنها يحتوي “توأمها” الذي يواصل النمو طيلة 17 عاماً. إذ نما للتوأم شعرٌ وأسنانٌ وعمودٌ فقري كذلك. 

حالة طبية نادرة جداً

ويُعتَقَد أن الحالة المعروفة طبياً باسم جنين داخل جنين تحدث عندما يلتف أحد التوأمين حول شقيقه في مرحلة مبكرة جداً من الحمل. عندها، لا يستمر الجنين في تطوير جهازه العصبي ودماغه، لكنه يظل قادراً على الحياة. إذ يغذي نفسه من خلال شقيقه، ويتحول إلى كائن طفيلي بالأساس. 

على جانب آخر، هناك نظرية أخرى ترجِّح أن “الجنين” ما هو في الواقع إلا شكل معقد من ورم يسمى الورم المسخي، ويمكن لهذه الأورام تطوير أنواع مختلفة من الأنسجة في وقتٍ واحد، بما في ذلك الشعر والأسنان.

وبغض النظر عن كيفية حدوث الحالة، فإنها عادة ما تنتهي بالإجهاض لافتقار الجنين السليم إلى التغذية الكافية. ولكن حتى مع نجاة الجنين، فإن الحالة سرعان ما تُكتَشَف بعد الولادة أو في مرحلة الطفولة المبكرة. 

وفقاً لأطباء السيدة، فلم يكن هناك سوى سبع حالات أخرى معلنة لبالغين لديهم توأم جنيني قبل تلك الحالة. وكانوا جميعاً من الرجال، حتى هذه اللحظة. 

الأطباء اشتبهوا في وجود ورم عند المرأة

بدأت محنة المرأة، التي عرضها أطباؤها بالتفصيل في مجلة BMJ Case Reports العلمية، قبل خمس سنوات من لجوئها للأطباء. كان هذا عندما لاحظت هي وأسرتها وجود نتوء صلب ذي شكل غريب حول بطنها. 

على مدار السنوات الخمس المقبلة، نما حجم الورم تدريجياً وآلمها على فترات. بحلول الوقت الذي قامت فيه فتاة الـ17 عاماً آنذاك بزيارة الأطباء، كان أقل قدر من الطعام يشعرها بالشبع، غالباً لأن الورم بدأ في الضغط على أعضائها الداخلية.

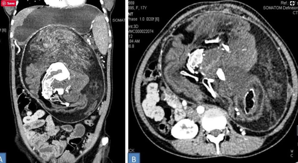
في الفحص البدني الأولي، اشتبه في الانتفاخ أنه ورم، وهو إلى حد ما كان كذلك فعلاً. ولكن عندما أجروا تصويراً مقطعياً مُحوسَباً للانتفاخ، وجدوا رواسب من الكالسيوم تبدو “على شكل فقرات وضلوع وعظام طويلة”، لتكشف الحقيقة المروعة في نهاية المطاف. بعدها بدأ الأطباء في العمل على إزالة الجنين. 

قبل انتشاله بعملية جراحية

وبحسب التقرير، تتكون محتويات الورم من “الشعر وعظام مكتملة النمو وأجزاء أخرى من الجسم”. وشملت الأخيرة “عدة أسنان وهياكل تشبه براعم الأطراف”. كما أن حجم الجنين الهائل الذي بلغ طوله 36 سنتيمتراً وعرضه 16 سنتيمتراً وارتفاعه 10 سنتيمترات، أهله أن يصبح أكبر جنين وجد في حالة جنين داخل جنين لشخص بالغ.

ومع إزالة الكتلة، حظيت المرأة بشفاء عاجل وهادئ، ولا تزال في صحة جيدة بعد مرور عامين.

إذ كتبت في مقالة مخصصة لوجهة نظر المريض مرفقة بالتقرير: “أشعر أنني بحال جيدة، بطني الآن مستوية، ووالداي في غاية السعادة”.

في خاتمة مقلقة لهذه القصة الغريبة، لم يتمكن الأطباء من إزالة كافة البقايا الخلوية للتوأم من المريضة. لذا لا تزال هناك احتمالية بعيدة أن تتطور الخلايا المتبقية إلى سرطان وتخرج عن السيطرة. وللحد من هذا الخطر، أعلن الأطباء أنهم سيتابعون الفتاة سنوياً للكشف المبكر لأي بوادر أولية لذلك.

Leave a Comment

لن يتم نشر عنوان بريدك الإلكتروني. الحقول الإلزامية مشار إليها بـ *

Scroll to Top